当前位置:首页>铸造工艺

技术前沿丨搅拌摩擦加工对铝压铸件性能的影响

宋福林 发表于2023/10/26 17:10:21 搅拌摩擦加工压铸 ADC10合金性能影响

原标题:搅拌摩擦加工对压铸 ADC10 合金显微组织与力学性能的影响

摘 要:压铸ADC10铝合金中存在多种第二相颗粒,特别是含铁相第二相会导致其延展性大幅降低,从而影响了其结构应用。通过对ADC10合金铸态组织进行适当的改性,可以提高合金的力学性能。本文研究并分析了搅拌摩擦加工(FSP)对压铸ADC10合金显微组织及力学性能的影响:搅拌摩擦加工能有效地细化合金的铸态组织,分解粗大的Si颗粒,在α-Al基体中形成了均匀细小的等轴Si颗粒。此外,搅拌摩擦加工消除了作为裂纹源的孔隙等缺陷及破碎第二相颗粒,从而提高了合金的力学性能和延展性。

在过去的几十年里,汽车、机械等行业一直深耕从相对较重的黑色合金过渡到更轻的铸铝合金以提高燃料效率及行驶里程,减少碳排放。压铸铝合金因其重量轻、流动性好、力学性能佳而受到广泛关注,其中ADC10铝合金广泛用于汽车压铸零部件等方向。然而,压铸铝合金的孔隙率、含铁针状相、第二相颗粒分布不均和粗大Si颗粒等的存在严重限制了其抗拉强度和伸长率等力学性能。为了改善压铸ADC10铝合金的力学性能,通常需要从细化组织和降低孔隙率等方面入手。搅拌摩擦加工(FSP)是利用搅拌摩擦焊(FSW)的加工原理对铸件组织进行局部修饰的热加工技术, 其有潜力与能力用来提高压铸ADC10合金的力学性能。搅拌摩擦加工由旋转刀具在工件表面上施加大幅度的塑性变形,有助于改变压铸铝合金的微观结构并消除孔隙。刀具转速和横移速度是搅拌摩擦加工过程中影响显微组织细化程度的两个重要工艺参数。研究表明,搅拌摩擦加工具有分解大尺寸Si颗粒、消除压铸A356合金和熔模铸造A319合金中气孔和改善α-Al枝晶组织的能力;对于A319和A356铸件,搅拌摩擦加工还在搅拌区分解了第二相颗粒,并使其以相对均匀的形状均匀分布在基体上。这些显微结构变化的共同作用能够提高压铸铝合金的强度和延展性,其中孔隙率的减小导致裂纹源的减少,从而改善了合金的力学性能,并提高了合金的疲劳性能。因此本文对压铸 ADC10铝合金进行了搅拌摩擦加工处理,研究了加工对合金中典型气孔和缩松等孔隙缺陷的影响。此外,还研究了其对显微组织细化的影响, 最后比较了铸态材料和搅拌摩擦加工材料的力学性能差异。

1、试验材料与方法

搅拌摩擦加工试验选择在4.5 mm厚的压铸 ADC10铝合金板材上进行,合金的成分见表1。对压铸ADC10合金的搅拌摩擦加工搅拌头尺寸见图1a,图1b所示为搅拌摩擦加工的工作原理,采用垂直方向力进行单道次加工,搅拌头(搅拌头一般由搅拌针和轴肩组成)的旋转速度为650 r/min,搅拌头的移动速度为0.35 m/min,倾斜角度为5°,加工区域的前进侧与后退侧在图1b中标出,搅拌摩擦加工深度保持在3.25 mm。加工从压铸ADC10板材边缘50 mm处开始,行进距离为200 mm,板材规格为300 mm×30 mm。搅拌头和板材的温度由插入ADC10合金板材及螺纹销中的热电偶测量得出,热电偶位置如图2所示,距离加工中线10 mm。从ADC10合金板材垂直于搅拌摩擦加工方向上提取金相试样。随后,使用环氧树脂对试样进行镶嵌并进行打磨和抛光,使用Keller试剂对试样进行蚀刻。利用光学显微镜拍摄了ADC10合金试样金相照片,并观察其孔隙分布情况。最后测量压铸态及搅拌摩擦加工后ADC10合金的力学性能,用线切割从搅拌摩擦加工板材的熔核区域切割样品,拉伸试样的长度为25 mm、宽度为5.76 mm、厚度为4.5 mm,取样位置如图2所示,拉伸试验采用万能试验机(Zwick-proline)在室温下进行,拉伸速度设置为0.01 mm/s。采用金相显微镜(EOC-BA310Met)及内置软件对孔隙率进行检测,检测面积为100 m㎡ 。

图1 搅拌摩擦装置示意图

表1 ADC10合金的化学成分分析结果 wB/%

图2 热电偶及拉伸试样取样位置

2、试验结果及讨论

2. 1 显微组织

如图3所示,搅拌摩擦加工区为典型的盆状结构。横切面取样位置距离行进起始点130 mm。图4所示为搅拌摩擦加工过程中各热电偶测量所得温度记录及垂直方向压力变化记录曲线,记录中可以看出,加工过程中螺纹销温度随加工行进逐渐升高,最终一直保持为425 ℃左右。另外从距离行进起始点100 mm与200 mm的热电偶读数中可以看出,距离加工中心线10 mm处的ADC10合金板材峰值温度为245 ℃左右。搅拌摩擦加工过程中垂直向的作用力为10 kN。压铸态 ADC10合金的低倍显微组织金相照片如图5a所示。压铸态板材表皮相对致密,且无较大气孔分布。而压铸态板材中心区域则存在大量的孔隙缺陷,主要包括卷气和缩孔,气孔的大小从几微米到几十微米不等。金相组织见图5b, ADC10显微组织内具有树枝状形态的α-Al相、共晶Si颗粒、富Cu的Al2Cu颗粒和含Fe第二相组成。如图5b和图5c所示,α-Al相、Al-Si共晶的尺寸和分布从壁端到中心都有所不同。Al-Si共晶组织密集地分布在边缘区,其中包含了呈圆形/斑点状的共晶Si颗粒,而从图5c中可以看出,Al-Si共晶组织在板材中间部分密度较小。在图5c中可以清楚地观察到针状粗大Si颗粒的存在。α-Al相的枝晶臂间距也随与边缘的距离而变化,在边缘附近的α-Al平均尺寸为6 μm左右,而在中心区域的平均尺寸为8 μm左右。如图5d中箭头所示,压铸态 ADC10合金的显微组织中还存在Al2Cu和富Fe第二相颗粒。针状富Fe相会恶化合金的力学性能。通过对压铸态多幅金相图像分析,计算出合金的孔隙率体积分数为1.354%左右。孔隙率从中心向边缘呈梯度分布,标准偏差较大,在靠近边缘的位置孔隙率可高达6.025%。

图3 ADC10合金搅拌摩擦加工横截面结构

图4 热电偶测量温度记录及垂直向压力变化曲线

图5 压铸态ADC10合金的显微组织

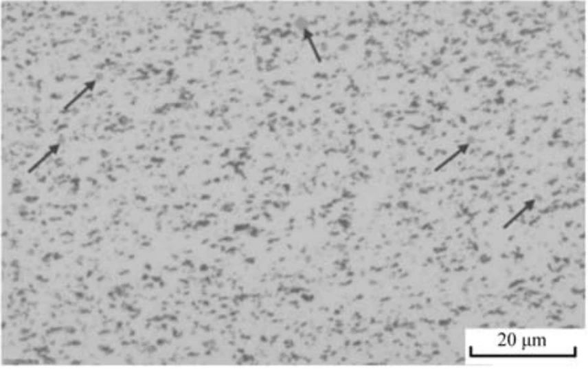
如图6所示,搅拌摩擦加工对压铸ADC10合金的孔隙消除效果显著。搅拌摩擦加工处理后,孔隙率体积分数降至0.073%。搅拌摩擦加工搅拌头的搅拌作用和母材的大幅塑性变形可有效消除铸态组织中的微孔隙。如图6所示,搅拌摩擦加工将铸态的α-Al树枝状组织完全改性。针状共晶硅颗粒被破碎成更小的、几乎等轴的颗粒。在搅拌摩擦加工熔核区,Si粒子均匀分布在Al基体当中。此外与压铸态的ADC10合金材料相比,Al2Cu和含Fe第二相颗粒(图6中箭头所示)也被分解成更小的颗粒。因此,搅拌摩擦加工成功地细化了压铸ADC10合金的显微组织,显著地降低了合金的孔隙率,它对提高ADC10合金的各项力学性能同样起到显著的作用。

图6 ADC10合金搅拌摩擦加工后的显微组织示意图

2.2 力学性能

以对压铸ADC10合金搅拌摩擦加工后显微组织的改性研究为基础,对压铸态ADC10合金和搅拌摩擦加工后合金的室温力学性能进行了测试。拉伸试验样品从搅拌摩擦加工后板材的熔核区进行切割,长度方向与搅拌摩擦加工行进方向的中心线对齐,取样示意如图2所示。分别取压铸态和搅拌摩擦加工条件下的五个样品在万能试验机上进行了拉伸试验,最终取平均值与压铸态合金进行了比较。表2为压铸试样和搅拌摩擦加工试样的抗拉强度与伸长率测试结果。如表2拉伸试验结果所示,压铸态ADC10合金的抗拉强度为312 MPa,屈服强度为157 MPa,搅拌摩擦加工后的ADC10合金抗拉强度下降为301 MPa,但屈服强度得到了提升,为186 MPa。ADC10合金的伸长率由压铸态的3.4%提高到了5.7%。

表2 压铸态ADC10合金与搅拌摩擦加工后的抗拉强度与伸长率

通过扫描电镜分析了压铸态ADC10合金和搅拌摩擦加工后ADC10合金试样的断口形貌。压铸态试样断口表面的扫描电镜照片显示了合金内部存在较大的孔隙(图7a),同时断口的解理模式表明其延展性较低。与此相对照的是搅拌摩擦加工后合金试样的断口形貌,可以明显看出,经过搅拌摩擦加工,合金显微组织内没有明显的孔隙存在,且合金的断裂模式为典型的韧窝断裂(图7b)。断口形貌对比结果表明,经过搅拌摩擦加工处理的ADC10合金材料延展性能得到明显提高。压铸态 ADC10合金具有较高的孔隙率和枝晶结构,以及针状Si相和较大的第二相颗粒的存在,这种组织构成导致了合金的强度和伸长率较低,搅拌摩擦加工显著降低了合金的孔隙率,破坏了α-Al树枝晶结构,同时还细化了针状Si相和第二相颗粒,且分布更为均匀。这种显微组织的细化显著提高了ADC10合金的屈服强度和伸长率, 压铸态ADC10合金的断裂主要发生在高孔隙率和低延展性的区域,而搅拌摩擦加工使合金显微组织发生改性,最终使合金表现出更好的塑性。

图7 ADC10合金在不同加工状态下的断口扫描电镜照片

3、结论

(1)压铸态ADC10合金的凝固组织具有较高的孔隙率、α-Al枝晶结构、针状Si相和较大的第二相颗粒,使合金强度和伸长率降低。
(2)搅拌摩擦加工显著降低了压铸态ADC10合金的孔隙率,破坏了α-Al树枝状结构,有效地细化了压铸ADC10合金中针状Si相和较大的第二相颗粒,沿熔核区域分布更为均匀,使合金的显微组织细化。
(3)搅拌摩擦加工显著提高了ADC10合金的屈服强度和伸长率。压铸态ADC10合金的断裂主要发生在高孔隙率和低延展性的区域,而搅拌摩擦加工使合金显微组织发生改性,最终使合金表现出更好的力学性能和塑性特征。

作者
宋福林
长沙航空职业技术学院
匡益明
湖南信息学院
本文来自:《铸造》杂志

回页顶部