当前位置:首页>铸造工艺

挤压铸造高强韧AlSiMgMn合金的组织和性能

钟鼓 发表于2025/11/25 9:01:09 AlSiMgMn合金热处理工艺

原标题:苏州有色金属研究院:挤压铸造高强韧AlSiMgMn合金的组织和性能

由于汽车轻量化的需要及铸造新技术的发展,铝合金铸件取代部分铸钢件、铝锻件或多部件组合已成为一种趋势,这些铸件通常结构复杂且对强度和塑性有很高的要求。一方面挤压铸造、真空压铸、差压铸造等被用于成形复杂铸件;另一方面开发汽车结构件用高强韧铸造铝合金也是迫切需求。铸造性能优异的亚共晶或近共晶Al-Si合金是铸造铝合金的首选,而对于如何通过合金成分调整、热处理和铸造工艺优化等提高其力学性能已有大量的研究报道。Mg和Cu是Al-Si系合金常用的强化元素。Fe是Al-Si合金中的主要杂质元素,常以长针状β-Fe相的形式存在,严重降低合金的塑性。适量的Mn能够将针状的β-Al5FeSi相转变为汉字状α-Al15(Fe, Mn)3Si2相从而提高合金的塑性。自20世纪90年代以来,国外一些公司相继开发了一些低Fe高强韧AlSiMgMn合金,如Silafont36、C601、Aural、AA367等,主要用于真空压铸生产汽车结构件。而国内在Al-Si系高强韧合金的开发方面与国外尚有较大的差距。

挤压铸造的优点之一就是铸件在低流速下充型、高压力下凝固,得到的铸件组织致密,并能进行热处理,使得挤压铸造成为铝合金强韧化的一种有效途径。本课题设计了3种高强韧AlSiMgMn合金, 利用金相显微镜 (OM) 、扫描电镜 (SEM) 和能谱分析 (EDS) 等手段,研究了挤压铸造AlSiMgMn合金的组织和性能,得到了优化的T6热处理工艺,并阐述了合金强韧化性能提高的机理。

图文结果

设计了3种高强韧铸造铝合金 (成分见表1),原材料用99.7%的纯铝、99.9%的纯镁和Al-20Si、Al-10Mn、Al-50Cu中间合金。考虑到合金元素Cu和Mg等对Sr变质的削弱作用,对高Cu含量的合金使用Al-5Sb变质,其他两种合金用Al-10Sr变质。熔炼后的合金试样在Thermo ARL 4460直读光谱仪上进行分析,单炉铸造2h内间隔取样6次的实测合金成分。每炉次配制合金400kg, 在电阻炉中加热至760℃熔化,降温到740℃加入纯镁锭,然后加入Al-10Sr或Al-5Sb进行变质处理。5~10min后, 采用石墨转子吹入高纯氩气对熔体除气精炼,转子转速为250r/min,压力为0.5MPa,除气时间为20min。除气后静置30min以上,并调温至700℃开始挤压铸造。

表1 挤压铸造高强韧铝合金的化学成分范围(%)

图1 挤压铸造力学性能试棒

图2 1~3号合金的升温过程DSC曲线

图3 挤压铸造合金的铸态微观组织

图4 挤压铸造标准力学性能试棒T6处理后的宏观照片

挤压铸造成形过程充型平稳、卷气少, 同时在半固态凝固区间对铸件施以高压压力补缩,使得铸件组织致密,可以进行完整的T6热处理以大幅提高合金的力学性能。图4为标准力学性能试样经T6处理后的照片。可以看出,挤压铸造的试棒分别在520、530和540℃下固溶处理时,表面完好,没有起泡的迹象,而采用高真空压铸 (真空度为93kPa) 制备的AlSi10MgMn合金的最高固溶处理温度仅为520℃,温度进一步升高则会出现明显的鼓泡。

图5为挤压铸造AlSiMgMn合金的T6态微观组织。可以看出, 经过T6热处理后,Sr变质合金中的共晶Si几乎完全转变为近球形或球形颗粒 (见图5a) ;而Sb变质合金组织中,少量共晶Si仍呈5~10μm的蠕虫状(见图5b箭头所示),尽管热处理后大部分共晶Si的球化效果较好,但存在较为明显的共晶Si偏聚区域 (见图5b圆圈处) , 这是共晶团变质不均匀所致。

图5 挤压铸造合金的T6态微观组织

图6 铸态2号合金的SEM图

表2 图6中化合物的EDS分析结果(%)

图7 T6态2号合金的SEM和EDS分析

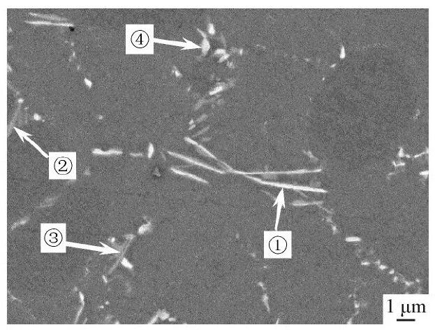
图8为铸态3号合金的BSE图像。可以看出,在晶界有大量的白色和灰色长条状化合物。各化合物的EDS分析结果见表3。可见, 化合物 (1) 为θ-Al2Cu相, (2) 为Q-Al5Cu2Mg8Si6相, (3) 和 (4)是α-Al15(FeMn)3(SiCu)2。图9为3号合金的SEM和EDS结果。可以看出,经过T6热处理后,Q-Al5Cu2Mg8Si6相和α-AlFeMnSiCu相亦球化为细小的颗粒状。

图8 铸态3号合金BSE图及元素面扫描图

表3 图8中化合物的EDS分析结果(%)

图9 T6态3号合金的SEM和EDS分析

图10 固溶温度对2号合金力学性能的影响(时效160℃×6h)

与2号合金相比,强度变化相对较小,峰值力学性能亦较低。但是,1号合金的伸长率在时效6h达到峰值1 3.4%之后才开始下降。综合考虑强度和伸长率, 160℃×6h也是1号合金较优的时效工艺,此时合金的性能:抗拉强度为325MPa,屈服强度为247MPa, 伸长率为13.4%,其中抗拉强度和屈服强度分别比同样热处理条件下的2号合金低60MPa和70MPa。由此可见,Al-Si-Mg合金中适量提高Mg含量并辅以合适的热处理工艺能够显著提高合金的力学性能。2号合金时效过程中力学性能的变化主要与β′′、β′亚稳相的析出和长大相关。Al-Si-Mg系合金的时效析出序列为:GP区→针状β′′→棒状β′→片状β-Mg2Si。其中亚稳相β′′、β′引起晶格畸变,阻碍位错运动,其数量和分布是决定合金力学性能的主要因素。

图11 时效时间对2号合金力学性能的影响

图12 时效时间对1号合金力学性能的影响

图13 不同固溶工艺下3号合金的力学性能
a:495℃×8h b:510℃×8h c:495℃×6h+510℃×2h d:495℃×6h+515℃×2h e:495℃×6h+520℃×2h f:495℃×4h+510℃×2h g:495℃×2h+510℃×2h

图14 时效时间对Al-Si-Cu-Mg-Mn合金力学性能的影响

结论

(1)Sr变质挤压铸造Al-11Si-0.5Mg-0.5Mn合金,组织中共晶Si变质等级达AFS 5级以上,经T6热处理,共晶Si几乎完全球化,长条状或块状AlFeMnSi相也演变为近球状。

(2)Sb变质挤压铸造Al-11Si-2.5Cu-0.5Mg-0.5Mn合金,共晶Si变质等级在AFS 3~4级之间,晶界有大量的θ-Al2Cu和α-Al15 (FeMn)3(SiCu)2化合物。经T6处理后,共晶Si也能较好地球化,但有明显的共晶Si偏聚区。

(3)Al-11Si-(0.3~0.5)Mg-0.5Mn合金优化的热处理工艺是535℃×4h固溶+160℃×6h时效,Mg含量从0.3%增加至0.5%,抗拉强度和屈服强度分别提高60MPa和70MPa,但伸长率降低。T6处理的Al-11Si-0.5Mg-0.5Mn挤压合金的抗拉强度为385MPa, 屈服强度为317MPa, 伸长率为9.5%。

(4)加入后使得合金组成相更为复杂,挤压铸造Al-11Si-2.5Cu-0.5Mg-0.5Mn合金优化的热处理工艺是(495℃×2h+510℃×2h) 双级固溶+160℃×12h时效,在此条件下合金的抗拉强度为435MPa、屈服强度为338MPa、伸长率为7.0%。

本文作者:

钟鼓1,3 吴永福2 邹纯1 邱楚1
陆萌萌1 长海博文1,2

1.苏州有色金属研究院有限公司;2.中铝材料应用研究院有限公司;3.广东鸿图南通压铸有限公司

本文转载自:《特种铸造及有色合金》

回页顶部